Lilypie Second Birthday tickers

Saturday, March 26, 2011

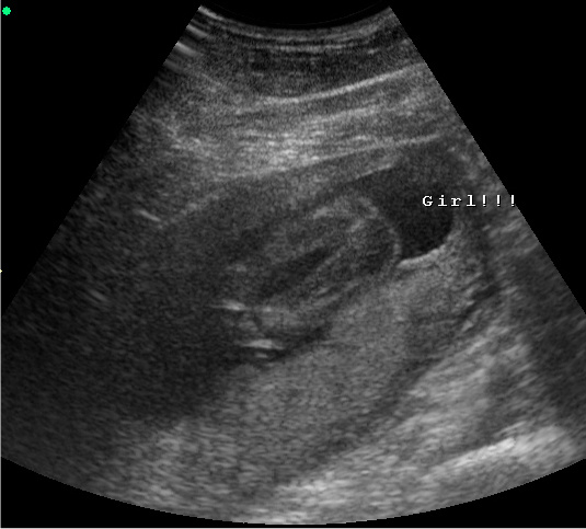
Elective Ultrasound

We decided to do an elective ultrasound to find out what we are having. I'm so happy we did it and here's some pictures from it (not the best quality) but I have to share.






She had no problem showing us her bits!
Her little toes, I think she has her feet crossed here.

Her butt and knee sticking out with her ankles crossed and a hand down by her leg

Face, chest and right hand near her face. To begin with her chin was tucked in tight to her chest :-)

3D picture of her bum and legs crossed at her ankles

18 weeks

Pregnancy Highlights:

How Far Along: 18 weeks
Size of baby: 6 inches
Total Weight Gain/Loss: 12 pounds lost
Maternity Clothes: Still fit into one or two pairs of pre-preg. jeans.
Gender: If baby cooperates we'll know in 9.5 hours!!
Movement: Getting more frequent and stronger.
Sleep: Better then last week. Ally gave me a body pillow and it helps so much! I sleep on my side so much easier and more comfortably but I can also lay on it on my belly and it doesn't bother me at all!
Symptoms: Not many, beyond feeling movement and having to go to the bathroom a million times a day and night.
Throw up tally: 0
What I miss: Being able to eat anything, gluten-free, I wanted with no aversions.
Cravings: Still sweets. Slurpees are an all time favorite right now. :-)
Best Moment this week: Getting an accurate heartbeat count and getting to feel stronger kicks.
Looking Forward Too: Finding out if we're having a boy or girl in 9.5 hours!

Sunday, March 20, 2011

Week 17

It's a day late but I'll try better in the coming weeks!
So far I'm just shocked at how fast time is flying by and how I can't imagine August getting here but at the same time feels like it will be here soon!
 
Pregnancy Highlights:

How Far Along: 17 weeks
Size of baby: 5 inches
Total Weight Gain/Loss: 13 pounds lost
Maternity Clothes: I have a pair of jeans that I got at 8 weeks because of bloat that I wear but I still fit in my old jeans. Shirts are getting iffy though on if they'll cover my belly or not!
Gender: Hopefully we'll find out soon!
Movement: Usually at night or when I'm laying down but I can feel somersaults and kicks. It's so neat! Bug gets more active after I eat something sweet or drink orange juice!
Sleep: Getting difficult. I'm a tummy sleeper and it's getting uncomfortable to sleep on my belly.
Symptoms: Emotional. Exhaustion. Dizziness.
Throw up tally: Still strong at ZERO!
What I miss: Good sleep
Cravings: Anything sweet. Love ice cream, candy, sweet tea, etc. Although I try not to give in too much.
Best Moment this week: Reading to Bug with Max. It was a really bad week at work for me and just knowing that I'm working for our baby and that Bug is there with me makes it better.

Thursday, March 10, 2011

Cloth Diapers

Max and I have been talking about diapering our future kids for years. Cloth diapering is something both agree on and even though a lot of people say things such as "you'll change your mind" or "just wait" we have both remained pretty strong in our stand.

Well today we bought 20 cloth diapers! Hopefully they'll be here before we move but I'm so excited to have them ordered! They are gender neutral prints but we will be ordering solids once we know what we're having, probably of kawaiis or bumgenuis. We shall see.

I can't wait to get them and show you pictures and have something for baby to put away!

Tuesday, March 1, 2011

Sore

Last week I started a new job as a dog groomer. Looks like I'll be working 20-25 hours a week which is probably a good thing because it kills me! I love my job, I love working with the dogs and making a new friend everyday but it's tough work, especially today's dog.

I woke up this morning with a sore back and hips, knowing that I would be sitting on the floor for hours. Why sit on the floor? Because the dog I got today was a 120+ lb golden retriever! Much to large to go on the table! He was a sweet dog but clipping his belly hair and feet included a lot of slouching and bending over while sitting on tile and then after his bath I had to sit on the floor to dry him. Know how long a dog of that size takes to dry with a standard blow drier? 1.25 hours!

The place I'm working for is a small family owned store and we went to school with the head groomer and lived down the street from the family while in school. We are a lot alike and she takes her kids to work everyday which I love! Her 3 year old keeps me company and her 8 month old likes to be tickled and chase the vacuum.

They are being careful about what I can lift, I got in trouble yesterday for helping the 3 year old off a stool cause she's past the weight limit, hehe.

As far as baby goes, we are now at 14.5 weeks and I'm starting to feel the little bug move! Yesterday it hit me pretty good while we were listening with the doppler. I'm not feeling movement everyday or anything but it's nice to know that little bits is still in there!